Besondere Form der Foveola
Zitat von Matthias am 26. Januar 2026, 17:39 UhrHallo,
kurz einmal vorweg, ich arbeite schon geraume Zeit mit dem REVO FC, habe jedoch bisher dieses Forum noch nicht genutzt.
Jetzt habe ich hier einen Fall, den ich nicht einordnen kann.
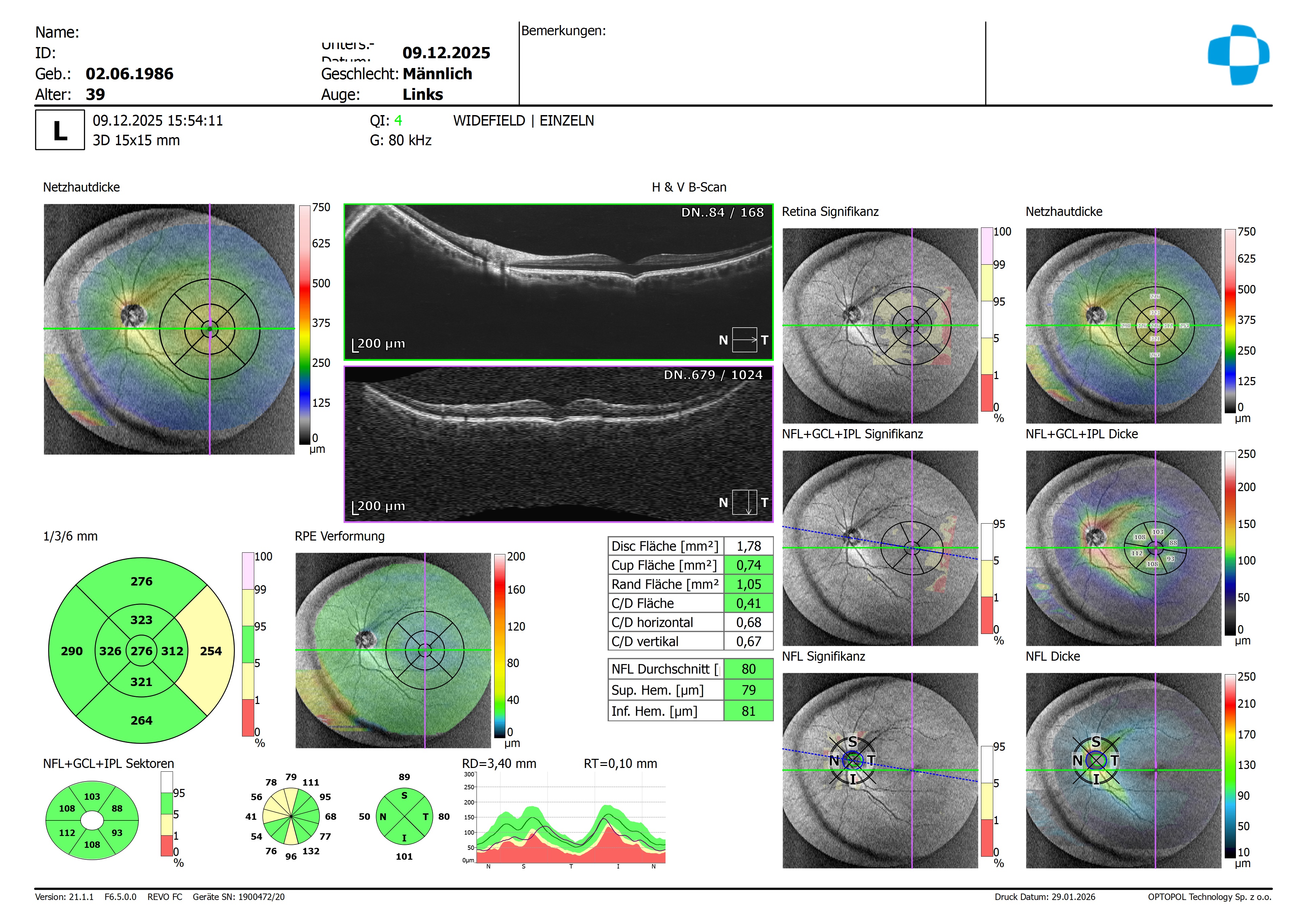
Wie aus den Bildern ersichtlich, ist die linke Foveola abweichend zu der Norm.
Im Bereich des Pigmentepithels ist die Schicht konkav und zur äußeren Schicht der Retina nach links verschoben.
Die Refraktion:
R: -4,75 -2,25 027° 5,25 Prismen B 180°
L: -4,50 -2,00 150° 5,25 Prismen B 000°
Keine Vorerkrankunge.
Ich würde mich freuen, wenn ich eine Einschätzung der Anomalie bekommen würde.
VG,
Matthias
Hallo,
kurz einmal vorweg, ich arbeite schon geraume Zeit mit dem REVO FC, habe jedoch bisher dieses Forum noch nicht genutzt.
Jetzt habe ich hier einen Fall, den ich nicht einordnen kann.
Wie aus den Bildern ersichtlich, ist die linke Foveola abweichend zu der Norm.
Im Bereich des Pigmentepithels ist die Schicht konkav und zur äußeren Schicht der Retina nach links verschoben.
Die Refraktion:
R: -4,75 -2,25 027° 5,25 Prismen B 180°
L: -4,50 -2,00 150° 5,25 Prismen B 000°
Keine Vorerkrankunge.
Ich würde mich freuen, wenn ich eine Einschätzung der Anomalie bekommen würde.
VG,
Matthias
Hochgeladene Dateien:
Zitat von Enno Pemöller am 28. Januar 2026, 16:38 UhrMoin Matthias,
wie ist es denn um den Visus des doch noch recht jungen Mannes bestellt?
Gab es hier eventuell eine plötzliche Änderung?
Grüße, Enno
Moin Matthias,
wie ist es denn um den Visus des doch noch recht jungen Mannes bestellt?
Gab es hier eventuell eine plötzliche Änderung?
Grüße, Enno
Zitat von Matthias am 29. Januar 2026, 13:03 UhrMoin Enno,
vielen Dank für Dein Interesse.
Der Visus liegt konstant seit Jahren bei 1,0 R/L.
Auch die Stärken haben sich im Laufe der Jahre kaum geändert, die Prismen sind leicht stärker geworden, aber alles im üblichen Rahmen.
Zur Ergänzung hier noch mal die Widefield Aufnahme links.
Wie bei einer mittleren Myopie üblich haben wir in der Perepherie der NFL eine Dickenreduktion, welche ich jedoch auf Grund der Formänderung des Bulbus als normal einstufen würde.
Viele Grüße,
Matthias
Moin Enno,
vielen Dank für Dein Interesse.
Der Visus liegt konstant seit Jahren bei 1,0 R/L.
Auch die Stärken haben sich im Laufe der Jahre kaum geändert, die Prismen sind leicht stärker geworden, aber alles im üblichen Rahmen.
Zur Ergänzung hier noch mal die Widefield Aufnahme links.
Wie bei einer mittleren Myopie üblich haben wir in der Perepherie der NFL eine Dickenreduktion, welche ich jedoch auf Grund der Formänderung des Bulbus als normal einstufen würde.
Viele Grüße,
Matthias
Hochgeladene Dateien:Zitat von Enno Pemöller am 29. Januar 2026, 21:43 UhrGuten Abend,
Einen ähnlichen Effekt habe ich schon1-2 Mal gesehen, es wurde bei diesen Befunden von ungeschütztem Blick in die Sonne ausgegangen (Stichwort Sonnenfinsternis), alternativ käme auch ein Laser in Frage.
Aber damit würde ich nicht "loslaufen", vielleicht hat ja noch jemand eine andere/bessere Idee.Grüße, Enno
Guten Abend,
Einen ähnlichen Effekt habe ich schon1-2 Mal gesehen, es wurde bei diesen Befunden von ungeschütztem Blick in die Sonne ausgegangen (Stichwort Sonnenfinsternis), alternativ käme auch ein Laser in Frage.
Aber damit würde ich nicht "loslaufen", vielleicht hat ja noch jemand eine andere/bessere Idee.
Grüße, Enno
Zitat von Joshua Torrent Despouy am 10. Februar 2026, 09:25 UhrHallo,
vielen Dank für die Vorstellung dieses Falls – er ist wirklich sehr interessant.
Auf den vorliegenden Bildern zeigt sich eine atypische Veränderung der Bulbusform im zentralen Foveabereich. Der Bulbus erscheint dort leicht eingezogen, was die beschriebene konkave Konfiguration der äußeren Netzhaut- und Aderhautstrukturen gut erklärt.
Meiner Interpretation nach handelt es sich hierbei weniger um eine pathologische Veränderung als vielmehr um eine anatomische Anomalie, die am ehesten im Sinne eines Mini-Staphyloms zu deuten ist. Beruhigend ist in diesem Zusammenhang, dass sowohl der Netzhautbefund als auch der Visus unauffällig sind.
Differentialdiagnostisch – wie von Enno bereits erwähnt – könnten erworbene Schäden wie eine Maculopathia solaris oder ein Laserschaden in Betracht gezogen werden. In diesen Fällen wäre jedoch typischerweise mit einem deutlichen funktionellen Defizit zu rechnen, das vom Patienten auch als positives Skotom wahrgenommen würde. Zudem zeigt sich bei beiden Entitäten charakteristischerweise ein scharf begrenzter, „wie ausgestanzt“ wirkender Defekt des RPE, was hier eindeutig nicht der Fall ist.
Insgesamt gehe ich daher von einer Normvariante ohne pathologischen Zusammenhang aus. Dennoch empfehle ich zur Sicherheit eine Verlaufskontrolle in etwa 6 Monaten inklusive Visuserhebung und OCT.
Viele Grüße,
Dr. Joshua Torrent Despouy
Hallo,
vielen Dank für die Vorstellung dieses Falls – er ist wirklich sehr interessant.
Auf den vorliegenden Bildern zeigt sich eine atypische Veränderung der Bulbusform im zentralen Foveabereich. Der Bulbus erscheint dort leicht eingezogen, was die beschriebene konkave Konfiguration der äußeren Netzhaut- und Aderhautstrukturen gut erklärt.
Meiner Interpretation nach handelt es sich hierbei weniger um eine pathologische Veränderung als vielmehr um eine anatomische Anomalie, die am ehesten im Sinne eines Mini-Staphyloms zu deuten ist. Beruhigend ist in diesem Zusammenhang, dass sowohl der Netzhautbefund als auch der Visus unauffällig sind.
Differentialdiagnostisch – wie von Enno bereits erwähnt – könnten erworbene Schäden wie eine Maculopathia solaris oder ein Laserschaden in Betracht gezogen werden. In diesen Fällen wäre jedoch typischerweise mit einem deutlichen funktionellen Defizit zu rechnen, das vom Patienten auch als positives Skotom wahrgenommen würde. Zudem zeigt sich bei beiden Entitäten charakteristischerweise ein scharf begrenzter, „wie ausgestanzt“ wirkender Defekt des RPE, was hier eindeutig nicht der Fall ist.
Insgesamt gehe ich daher von einer Normvariante ohne pathologischen Zusammenhang aus. Dennoch empfehle ich zur Sicherheit eine Verlaufskontrolle in etwa 6 Monaten inklusive Visuserhebung und OCT.
Viele Grüße,
Dr. Joshua Torrent Despouy
Zitat von Matthias am 11. Februar 2026, 15:03 UhrHallo Forum,
herzlichen Dank an Hr. Pemöller und Hr. Dr. Torrent.
Es wird meine Kunden freuen zu hören, dass es aller Wahrscheinlichkeit nach um eine anatomische Anomalie handelt.
Selbstverständlich werde ich dem Kunden die vorgeschlagenen Nachkontrollen empfehlen .
Eine abschließende Frage. Könnte die Verlagerungen tiefen Schichten, also der Spitzen der Photorezeptoren und dem Pigmentepithel der Foveola im Zusammenhang mit der prismatischen Korrektur stehen?
Nochmal herzlichen Dank.
Matthias
Hallo Forum,
herzlichen Dank an Hr. Pemöller und Hr. Dr. Torrent.
Es wird meine Kunden freuen zu hören, dass es aller Wahrscheinlichkeit nach um eine anatomische Anomalie handelt.
Selbstverständlich werde ich dem Kunden die vorgeschlagenen Nachkontrollen empfehlen .
Eine abschließende Frage. Könnte die Verlagerungen tiefen Schichten, also der Spitzen der Photorezeptoren und dem Pigmentepithel der Foveola im Zusammenhang mit der prismatischen Korrektur stehen?
Nochmal herzlichen Dank.
Matthias
Zitat von Joshua Torrent Despouy am 15. Februar 2026, 00:18 UhrHallo,
das ist in der Tat eine sehr spannende Fragestellung!
Entscheidend ist zunächst, ob der Patient bei der beschriebenen Veränderung subjektiv eine Verzerrung wahrnimmt. Wenn wir – wie in diesem Fall – von einer angeborenen anatomischen Variante ohne pathologischen Hintergrund ausgehen, ist davon auszugehen, dass mögliche Bildverzerrungen zentral neuronal kompensiert werden und daher nicht bewusst auffallen. Anders wäre die Situation bei einem akuten Geschehen: Hier könnte eine neu auftretende Metamorphopsie am betroffenen Auge zu irritierenden Doppelbildphänomenen führen, sodass ein prismatischer Ausgleich unter Umständen als entlastend empfunden wird.
Ein weiteres denkbares Szenario wäre, dass eine einseitige Bildveränderung eine bestehende Phorie rasch zur Dekompensation bringt. In diesem Fall würde der Patient typischerweise über störendes intermittierendes Schielen oder asthenopische Beschwerden berichten. Ein prismatischer Ausgleich kann hier bekanntermaßen zu einer deutlichen Symptomlinderung führen.
Aus meiner klinischen Erfahrung mit Netzhautschwerpunkt – insbesondere im Umgang mit Patienten mit Makulopathien – zeigt sich jedoch, dass prismatische Korrekturen nur selten einen wirklichen funktionellen Nutzen bei rein retinal bedingten Veränderungen bringen. Insofern sehe ich in dem vorliegenden Befund keinen überzeugenden Zusammenhang zwischen der beschriebenen anatomischen Variante und einer Indikation zur prismatischen Versorgung.
Viele Grüße,
Dr. Joshua Torrent Despouy
Hallo,
das ist in der Tat eine sehr spannende Fragestellung!
Entscheidend ist zunächst, ob der Patient bei der beschriebenen Veränderung subjektiv eine Verzerrung wahrnimmt. Wenn wir – wie in diesem Fall – von einer angeborenen anatomischen Variante ohne pathologischen Hintergrund ausgehen, ist davon auszugehen, dass mögliche Bildverzerrungen zentral neuronal kompensiert werden und daher nicht bewusst auffallen. Anders wäre die Situation bei einem akuten Geschehen: Hier könnte eine neu auftretende Metamorphopsie am betroffenen Auge zu irritierenden Doppelbildphänomenen führen, sodass ein prismatischer Ausgleich unter Umständen als entlastend empfunden wird.
Ein weiteres denkbares Szenario wäre, dass eine einseitige Bildveränderung eine bestehende Phorie rasch zur Dekompensation bringt. In diesem Fall würde der Patient typischerweise über störendes intermittierendes Schielen oder asthenopische Beschwerden berichten. Ein prismatischer Ausgleich kann hier bekanntermaßen zu einer deutlichen Symptomlinderung führen.
Aus meiner klinischen Erfahrung mit Netzhautschwerpunkt – insbesondere im Umgang mit Patienten mit Makulopathien – zeigt sich jedoch, dass prismatische Korrekturen nur selten einen wirklichen funktionellen Nutzen bei rein retinal bedingten Veränderungen bringen. Insofern sehe ich in dem vorliegenden Befund keinen überzeugenden Zusammenhang zwischen der beschriebenen anatomischen Variante und einer Indikation zur prismatischen Versorgung.
Viele Grüße,
Dr. Joshua Torrent Despouy



