Aufhebung der fovealen Senke
Zitat von Martin Kneppeck am 13. Februar 2026, 20:34 UhrLiebe Forummitglieder,
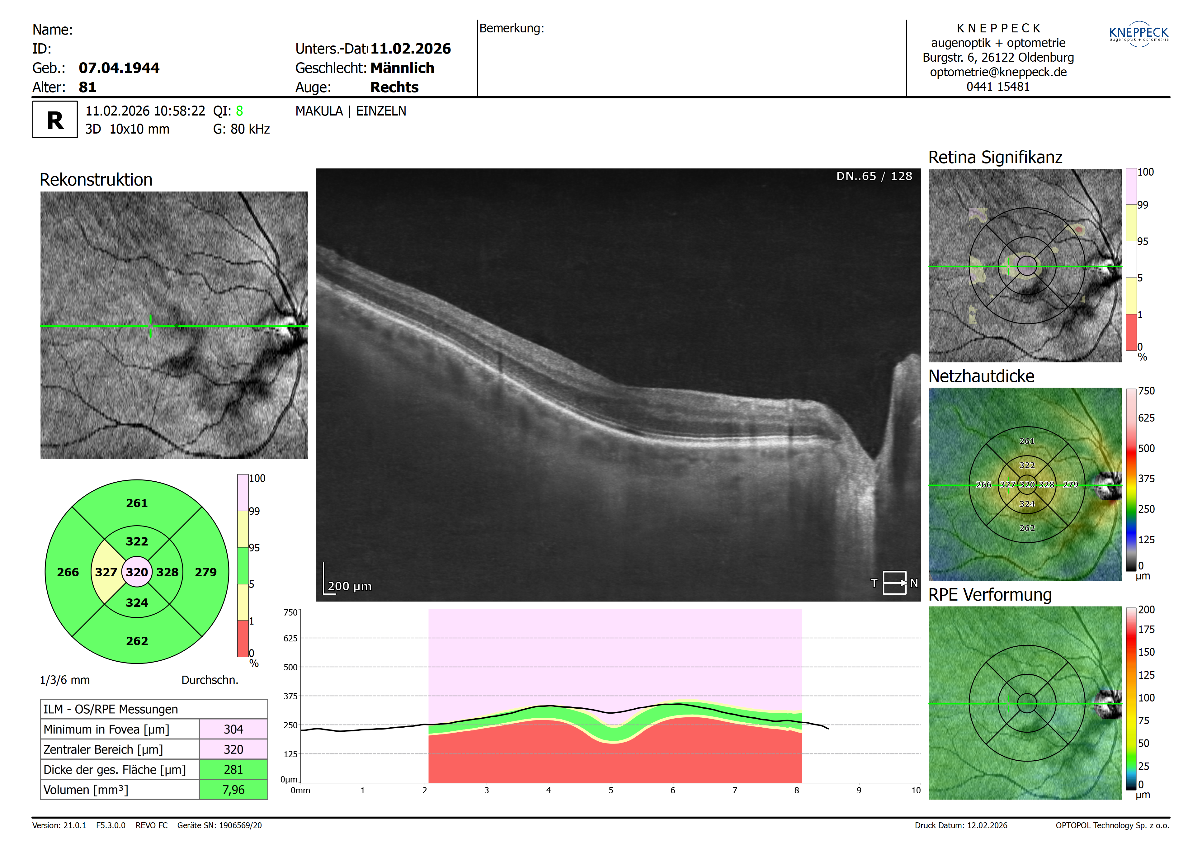
bei meinem Neukunden ist die foveale Senke bei beiden Augen kaum noch vorhanden. Eine Gliose besteht nicht.
Seit Dez. 2025 ist er bds. pseudophak; Ein flächiger dezenter Nachstar ist im Opazitätsbild zu sehen.
Die Ref.werte lauten:
R: sph -0,12 dpt cyl -0,25 dpt A 105° Pr. 5,10 cm/m A 191° Vcc 0,40--
L: sph +0,50 dpt cyl -2,25 dpt A 79° Pr. 5,10 cm/m A 11° Vcc 0,63-
Habt ihr eine Erklärung dafür?
Liebe Forummitglieder,
bei meinem Neukunden ist die foveale Senke bei beiden Augen kaum noch vorhanden. Eine Gliose besteht nicht.
Seit Dez. 2025 ist er bds. pseudophak; Ein flächiger dezenter Nachstar ist im Opazitätsbild zu sehen.
Die Ref.werte lauten:
R: sph -0,12 dpt cyl -0,25 dpt A 105° Pr. 5,10 cm/m A 191° Vcc 0,40--
L: sph +0,50 dpt cyl -2,25 dpt A 79° Pr. 5,10 cm/m A 11° Vcc 0,63-
Habt ihr eine Erklärung dafür?
Hochgeladene Dateien:Zitat von Joshua Torrent Despouy am 15. Februar 2026, 00:31 UhrHallo zusammen,
ja, tatsächlich erkennt man hier eine abweichende zentrale Formation. In der OCT – insbesondere in der grafischen Darstellung unterhalb des B-Scans – wirkt die foveale Senke beidseits deutlich abgeflacht. Der erste Gedanke geht dabei natürlich in Richtung einer Gliose, was sich auf den ersten Blick jedoch nicht eindeutig bestätigen lässt. Gleichzeitig wissen wir, dass die Foveakonfiguration interindividuell eine gewisse Variabilität aufweist und nicht jede Abweichung zwingend einen pathologischen Korrelat haben muss.
Ich denke allerdings, dass sich das Phänomen hier recht plausibel erklären lässt: Der vorhandene Nachstar führt zu einer reduzierten Lichttransmission und damit zu einem abgeschwächten Reflektivitätsmuster in der OCT. Dadurch wirken die retinalen Schichten weniger kontrastreich, was die Beurteilbarkeit der fovealen Morphologie deutlich erschwert.
Bei genauerem Hinsehen zeigt sich jedoch auf fovealer Ebene beidseits eine feine epiretinale Linie, sodass durchaus von einer zarten epiretinalen Gliose auszugehen ist, die die Fovea leicht deformiert. Diese wird durch die verminderte Signalqualität gewissermaßen „maskiert“ und ist daher nicht unmittelbar offensichtlich.
Zur Bestätigung dieser Einschätzung und gleichzeitig zur funktionellen Verbesserung erscheint eine Nd:YAG-Laserkapsulotomie des Nachstars sinnvoll. Dadurch wäre nicht nur eine Visussteigerung zu erwarten, sondern auch eine deutlich bessere OCT-Signalqualität. In der anschließenden Verlaufskontrolle sollte sich dann zeigen, ob die vermutete diskrete Gliose tatsächlich vorliegt und in welchem Ausmaß sie die foveale Kontur beeinflusst.
Viele Grüße an alle und schönes Wochenende!
Dr. Joshua Torrent Despouy
Hallo zusammen,
ja, tatsächlich erkennt man hier eine abweichende zentrale Formation. In der OCT – insbesondere in der grafischen Darstellung unterhalb des B-Scans – wirkt die foveale Senke beidseits deutlich abgeflacht. Der erste Gedanke geht dabei natürlich in Richtung einer Gliose, was sich auf den ersten Blick jedoch nicht eindeutig bestätigen lässt. Gleichzeitig wissen wir, dass die Foveakonfiguration interindividuell eine gewisse Variabilität aufweist und nicht jede Abweichung zwingend einen pathologischen Korrelat haben muss.
Ich denke allerdings, dass sich das Phänomen hier recht plausibel erklären lässt: Der vorhandene Nachstar führt zu einer reduzierten Lichttransmission und damit zu einem abgeschwächten Reflektivitätsmuster in der OCT. Dadurch wirken die retinalen Schichten weniger kontrastreich, was die Beurteilbarkeit der fovealen Morphologie deutlich erschwert.
Bei genauerem Hinsehen zeigt sich jedoch auf fovealer Ebene beidseits eine feine epiretinale Linie, sodass durchaus von einer zarten epiretinalen Gliose auszugehen ist, die die Fovea leicht deformiert. Diese wird durch die verminderte Signalqualität gewissermaßen „maskiert“ und ist daher nicht unmittelbar offensichtlich.
Zur Bestätigung dieser Einschätzung und gleichzeitig zur funktionellen Verbesserung erscheint eine Nd:YAG-Laserkapsulotomie des Nachstars sinnvoll. Dadurch wäre nicht nur eine Visussteigerung zu erwarten, sondern auch eine deutlich bessere OCT-Signalqualität. In der anschließenden Verlaufskontrolle sollte sich dann zeigen, ob die vermutete diskrete Gliose tatsächlich vorliegt und in welchem Ausmaß sie die foveale Kontur beeinflusst.
Viele Grüße an alle und schönes Wochenende!
Dr. Joshua Torrent Despouy

